Позвоните мне
Примеры работ
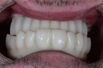
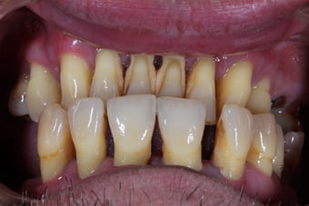
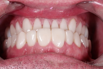
Имплантация по системе " Все на 6 " Верхняя и нижняя челюсть
Восстановление эстетики зубов с помощью ультратонких виниров в цвете Bleach 2
Лечение стираемости при помощи керамических виниров
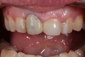
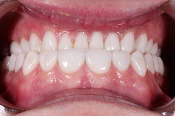
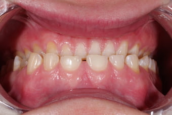
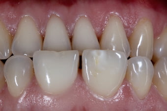
Фрагмент тотальной реабилитации керамическими винирами
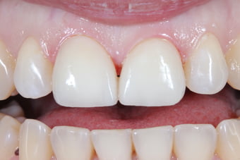
Закрытие диастемы при помощи ультратонких керамических виниров
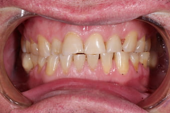
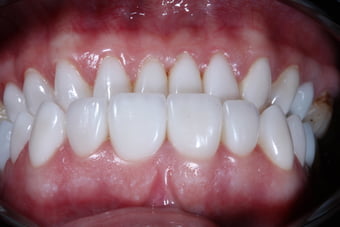
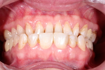
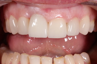
Фрагмент эстетической реабилитации зубов с помощью керамических коронок и виниров
Записаться на приём